海信医疗:AI赋能 开创微创外科新篇章
"人工智能+"首次被写入政府工作报告,AI技术正以加速度渗透到社会各层次、各领域,成为发展新质生产力的中坚力量。今年夏季达沃斯论坛上,AI技术被《十大新兴技术报告》列为十大技术之一,其在医疗、新材料和生命科学等领域的应用前景备受关注。
AI技术的突破,特别是在辅助诊断、提升工作效率等方面,为医疗行业带来革命性的改变。海信医疗始终坚持技术立企,在精准影像和人工智能领域不断突破,并携手合作伙伴持续开拓微创外科领域的新蓝海。
AI辅助诊断 联合创新4K消化内镜智能屏
消化内镜是诊断消化道疾病的重要工具,其精准筛查对于发现在轻-中-重度非典型增生至早癌(T1A)阶段这一黄金治疗期的病变至关重要,可以根除或阻止其进展,有效降低恶性肿瘤发病率,极大提高五年生存率的目标。
海信医疗与天津御锦合作研发出4K消化内镜智能屏,作为一款融合人工智能的内窥镜显示器,为消化道早癌筛查提供了强有力的帮助。该产品的AI技术已获得国家工业和信息化部科技司与国家药品监督管理局医疗器械注册司的认可,荣获“人工智能医疗器械创新任务揭榜优胜单位”,彰显了其在AI医疗技术领域的领先地位。

4K消化内镜智能屏配置临床辅助模块,实现胃镜肠镜、实时识别、分型诊断,助力消化内镜数字化精准诊疗;提供消化内镜科室服务,通过超级图文、AI质控、声控报告,便于主任实时指导及监督,大幅提升医生的工作效率,达到高质量临床水平。
同时4K消化内镜智能屏一体机设计,融合了AI主机和4K内窥显示器,为医生提供了高清、精准的内窥影像,优化了手术室空间,实现了"手眼同步"的操作体验,减轻了医生观看多个显示屏带来的疲劳感。
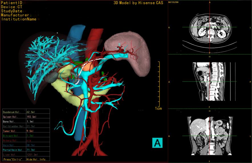
AI三维重建 海信CAS辅助精准手术
当前,AI技术被广泛应用于医学影像分析、辅助诊断等领域,帮助外科医生更精准的进行手术规划,推动微创外科领域的智能化升级。

海信计算机辅助手术系统(CAS)是在国家“十二五”科技支撑计划课题支持下,自主研发的智能医学影像处理软件系统,基于薄层CT/MRI数据进行人工智能快速三维重建。CAS能够精确还原器官、病灶及周围血管的相互关系,满足肝胆外科、胸外科、泌尿外科的三维重建图像,辅助临床医生进行术前规划、术中参考和术后评估。同时,通过海信外科医学影像云平台,搭建基于内网的云制作、云浏览能力,拓展全院级多科室的智能三维重建解决方案。
自2015年推出以来,海信CAS已经在全国200多家医院使用,累计诊断病例5万余例,并积累大量医学影像数据,产品的安全可靠性得到了充分验证。
此外,海信医疗依托图像处理和智能交互的深厚技术积累,在超声诊疗领域融入AI技术,辅助基层医生和年轻医生精准检查,自动生成规范化报告,提升基层医疗机构的诊疗水平。在AI和精准影像技术的加持下,海信医疗不断突破技术瓶颈,创新智慧医疗服务模式,以智能化手段惠及更多医院和患者,为人类健康事业贡献力量。
免责声明:本网站有部分内容均转载自其它媒体,转载目的在于传递更多信息,并不代表本网赞同其观点和对其真实性负责,若因作品内容、知识产权、版权和其他问题,请及时提供相关证明等材料并与我们联系,本网站将在规定时间内给予删除等相关处理.
猜你喜欢


